En Chicdental, cuidamos tu sonrisa con tecnología de última generación y un equipo de dentistas altamente cualificados.
En Chic Dental (Doctores Herrera) ofrecemos atención odontológica integral con un enfoque personalizado y más de 20 años de experiencia en el sector. Nuestra clínica dental en Algeciras y San Roque está equipada con tecnología de vanguardia y un equipo de profesionales altamente cualificados en todas las especialidades de la odontología.
Cuente con nosotros y pida su cita

Clínica dental especializada
Corrige la alineación de tus dientes y mejora tu mordida con tratamientos personalizados, desde brackets tradicionales hasta ortodoncia invisible.
Tratamos enfermedades de las encías para preservar la salud de tus tejidos dentales. La prevención es clave para mantener una sonrisa fuerte y sana.
Recupera la funcionalidad y estética de tu sonrisa con implantes dentales de alta precisión. Una solución fija, segura y duradera para sustituir dientes perdidos.
Mejoramos la armonía facial y la sonrisa con técnicas mínimamente invasivas: carillas, blanqueamiento, y tratamientos con ácido hialurónico para una estética facial integral.
Salvamos piezas dentales dañadas mediante tratamientos de conducto que eliminan infecciones, aliviando el dolor sin necesidad de extracción.
Cuidamos la salud bucodental de los más pequeños con un enfoque amable, educativo y adaptado a cada etapa del desarrollo infantil.

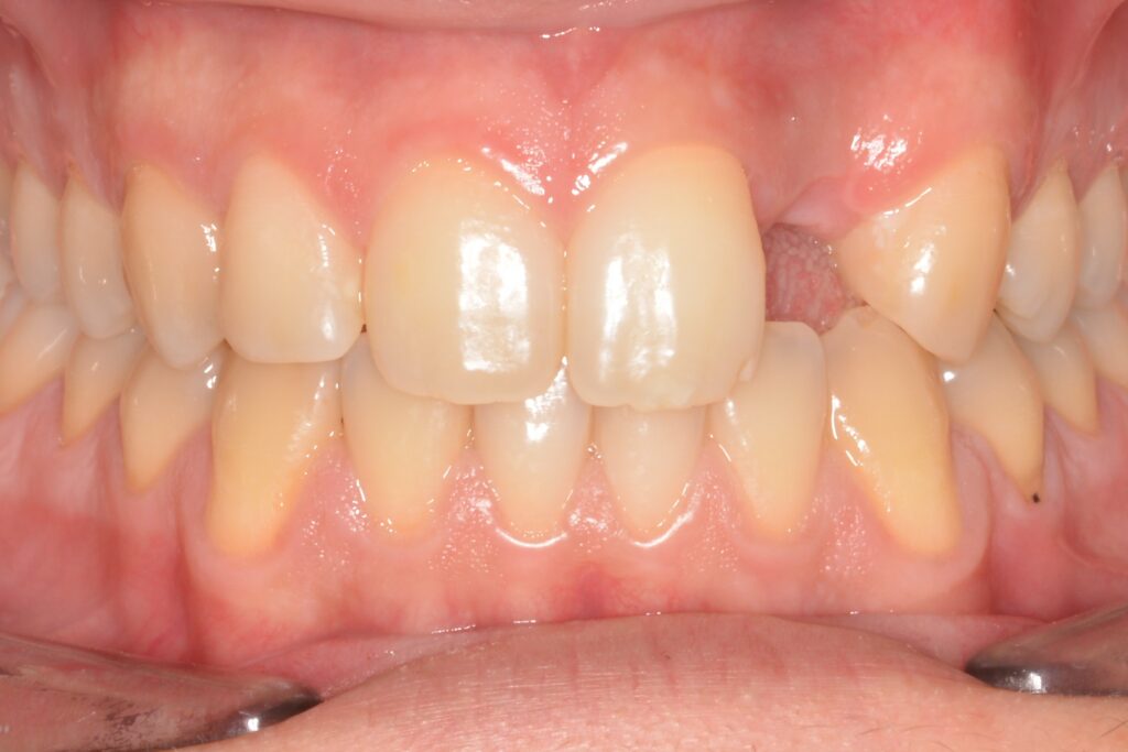
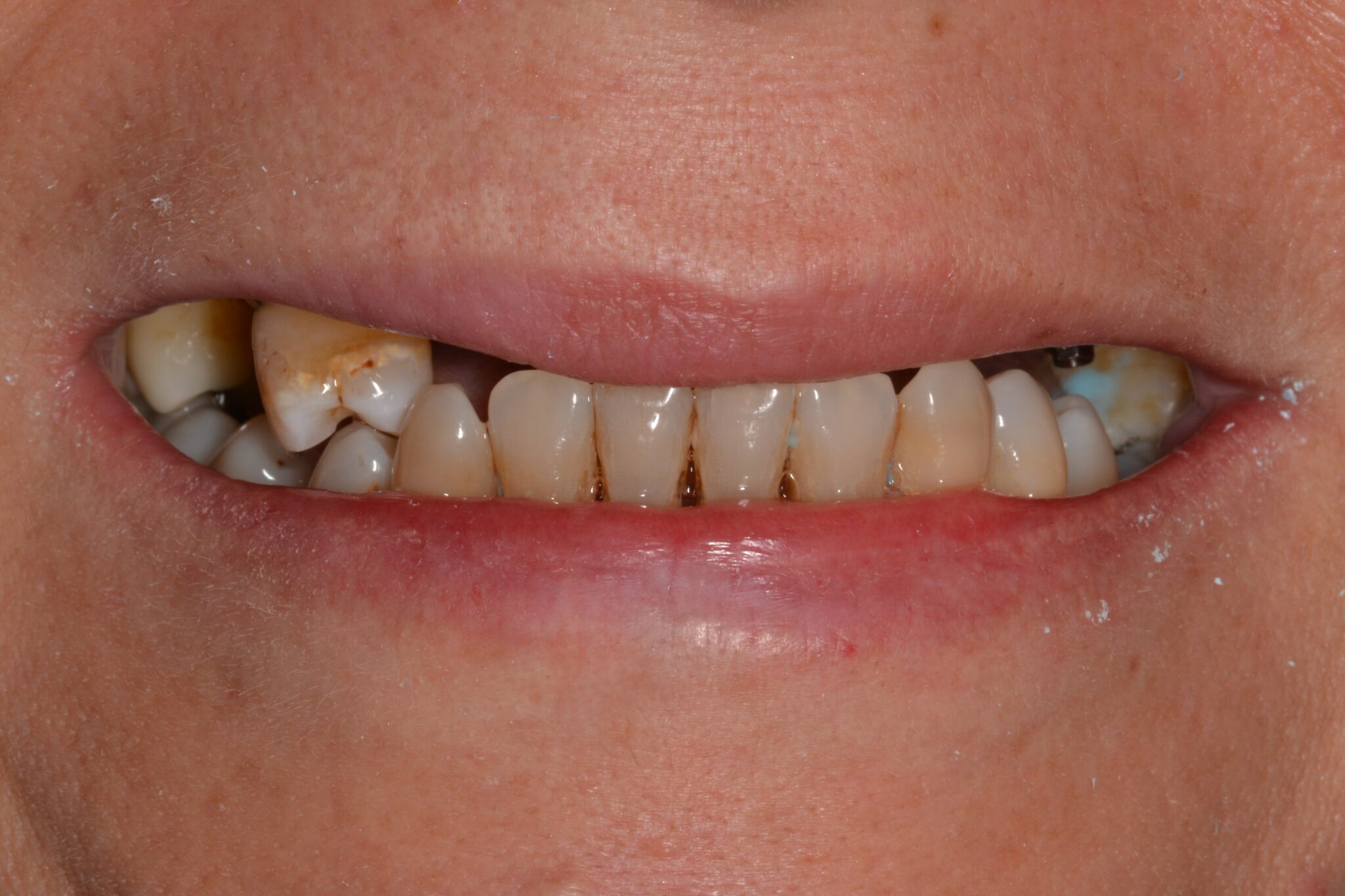
Paciente mujer de 40 años que lleva más de 20 años portando una prótesis removible. La paciente decide que quiere cambiar y colocarse algo de forma fija, ya que cada vez se encuentra mas incomoda con su protesis removible.

Paciente mujer de 40 años que lleva más de 20 años portando una prótesis removible. La paciente decide que quiere cambiar y colocarse algo de forma fija, ya que cada vez se encuentra mas incomoda con su protesis removible.

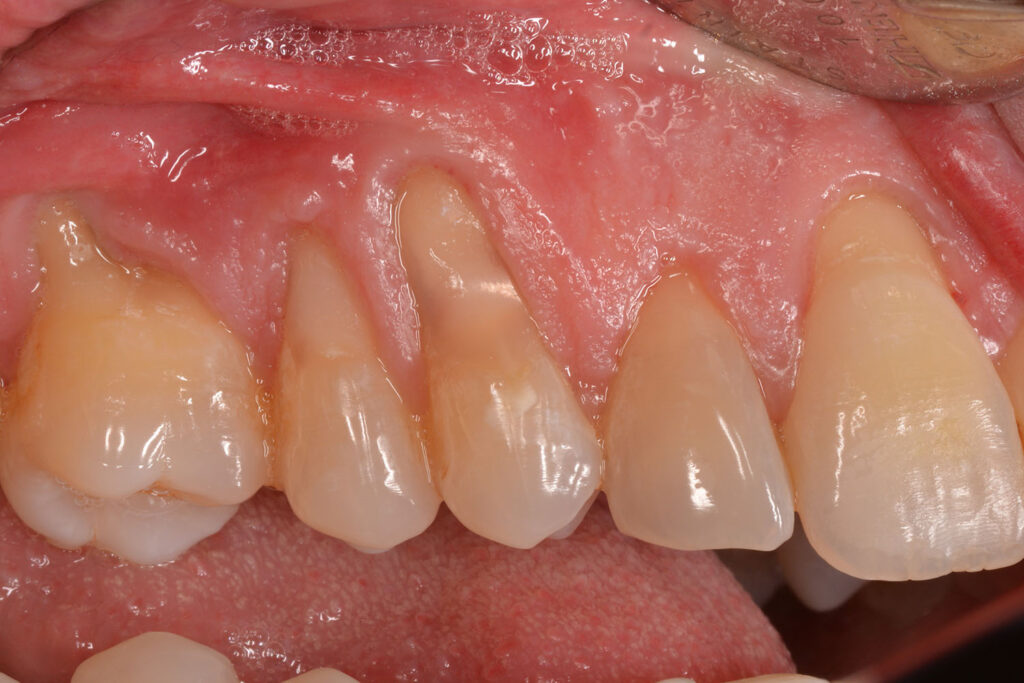
Paciente que presenta recesiones gingivales en toda la arcada superior, debido a un cepillado muy traumático que le estaba ocasionando estas lesiones.

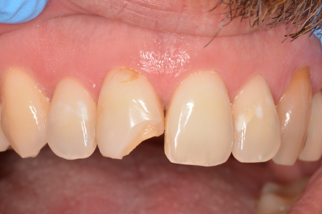
Paciente que sufre un traumatismo y pierde una parte de la región cervical de uno de los incisivos centrales.

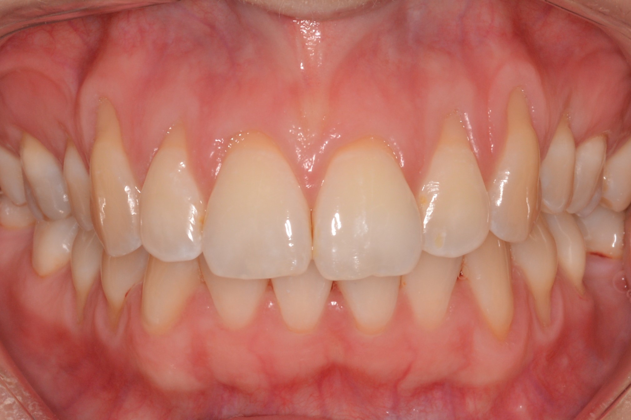
Paciente que presenta unas recesiones generalizadas de gran tamaño que le impiden mantener una correcta higiene y salud oral.

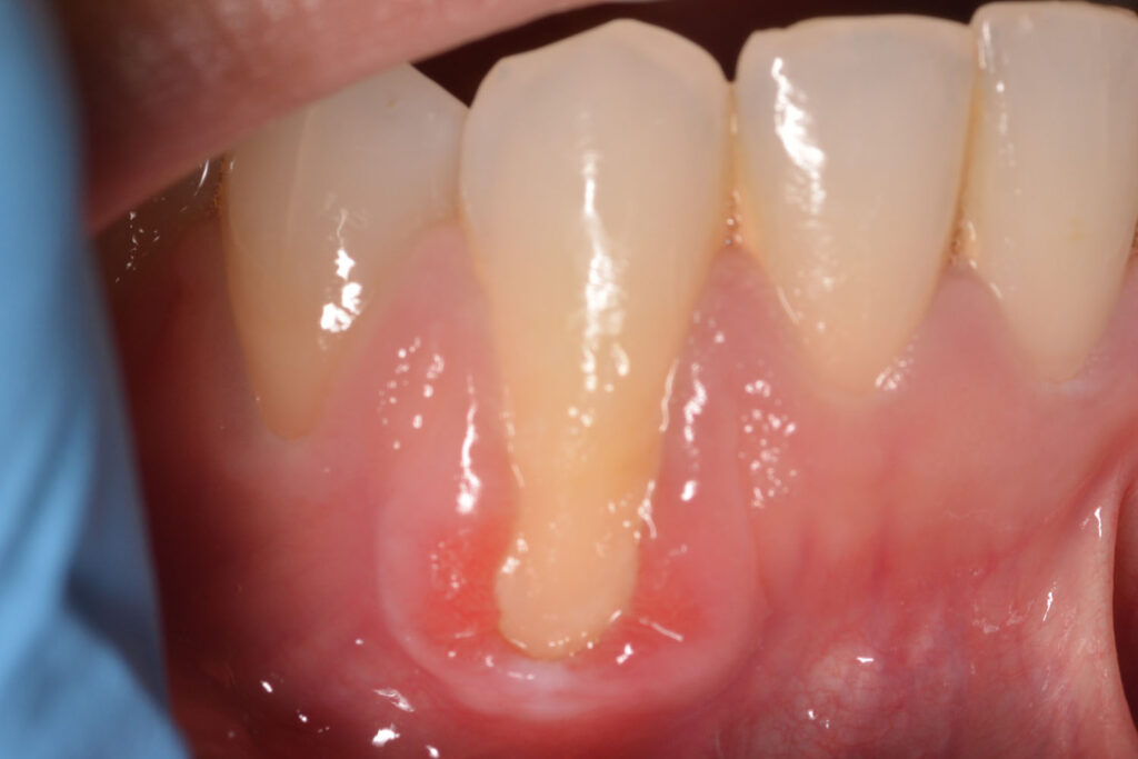
Paciente que presentaba una recesión gingival en el diente 43 de grandes dimensiones, que provocaba que la paciente tuviese esa zona constantemente inflamada y dolorida ya que no podía cepillarse correctamente.

Paciente de 20 años que acude a la consulta por fractura del incisivo lateral por un traumatismo

Paciente que quiere aumento de labios pero que que le quede de forma natutal. Le realizamos infiltraciones con ácido hialurónico consiguiendo así el resultado que esperaba la paciente.